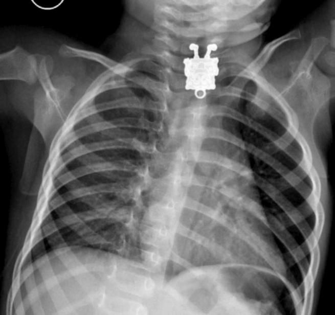
IN ARABIA SAUDITA

A 16 mesi ingoia il pupazzo di SpongeBob, la radiografia mostra la sagoma del giocattolo