PER LA PRIMA VOLTA AL MONDO

Torino, bimba con tumore osseo crescerà con un chiodo allungabile

La piccola, colpita da un rarissimo sarcoma alla caviglia, è stata dimessa e, secondo i medici, potrà tornare a camminare

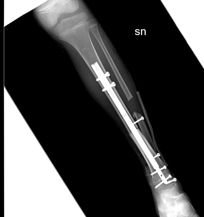
Per la prima volta al mondo, all'ospedale Regina Margherita di Torino, la caviglia di una bambina di 9 anni è stata ricostruita con l'osso di un donatore e un chiodo allungabile che accompagnerà la crescita scheletrica fino all'età adulta e non dovrà essere sostituito. La piccola, colpita da un rarissimo sarcoma osseo, è già stata dimessa e, assicurano i medici, potrà tornare a camminare.

L'intervento è stato eseguito da un'equipe di chirurghi ortopedici della Città della Salute di Torino e dell'Istituto Ortopedico Rizzoli di Bologna.

La bimba, dopo la diagnosi, ha eseguito chemioterapia presso il reparto di Oncoematologia pediatrica dell’ospedale Regina Margherita (diretto dalla professoressa Franca Fagioli), e nei giorni scorsi è stata sottoposta all’intervento di asportazione del tumore e salvataggio della caviglia con ricostruzione con osso omoplastico da donatore e sintesi con un chiodo allungabile, in modo da permettere la regolare crescita dell’arto senza necessità di ulteriori interventi.

La tecnica eseguita rappresenta una assoluta novità in quanto il chiodo inserito per stabilizzare l’impianto permetterà nei prossimi anni anche la regolare crescita dell’arto permettendo l’allungamento al termine della maturazione scheletrica. La chirurgia è stata pianificata nei minimi dettagli dalle due equipe di medici ed ingegneri. Nonostante la pandemia da Covid-19 le cure legate a questo tipo di patologie si sono svolte regolarmente e senza ritardi. La bimba ora sta bene ed è stata dimessa.