LO STUDIO ITALIANO

Tumori, viste le molecole che li rendono trasformisti e aggressivi

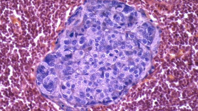
Identificate nel cancro delle corde vocali, in cui modificano il tessuto da compatto a fluido. La scoperta di una ricerca dell'Istituto di Oncologia molecolare della Fondazione Airc e dell'Università Statale di Milano

© -afp

© -afp

Trovate le molecole che rendono i tumori capaci di trasformarsi e di diventare più aggressivi e capaci di diffondersi. Sono state identificate nei tumori delle corde vocali, nei quali modificano il tessuto da compatto a fluido. La scoperta è pubblicata sulla rivista Advanced Science e si deve alla ricerca condotta dall'Ifom (l'Istituto di Oncologia molecolare della Fondazione Airc) e dal dipartimento di Oncologia ed emato-oncologia (Dipo) dell'Università Statale di Milano.

Il programma molecolare che determina la transizione dei tessuti da uno stato solido e protettivo a uno fluido e invasivo è stata identificata studiando in coltura le cellule di carcinoma delle corde vocali e squamocellulare. Se i tessuti sani resistono senza problemi alle sollecitazioni meccaniche dovute ad attività come respirare, parlare o al battito cardiaco, per quelli tumorali non è così. In particolare, nei tumori dell'epitelio i tessuti non riescono a reagire e, diventando più fluidi, riescono a diffondersi più facilmente dando origine alle metastasi. "In fisica della materia il fenomeno è noto come transizione di fase", osserva Giorgio Scita, della Statale e direttore del Laboratorio Ifom sui meccanismi di migrazione delle cellule tumorali. 

Studi precedenti, compresi quelli condotti dal gruppo di Scita, avevano osservato che il volume delle cellule tumorali può oscillare in modo significativo e che queste fluttuazioni potrebbero portare a rendere il tessuto più fluido. Tuttavia i meccanismi molecolari che innescano e controllano questo processo erano solo in parte noti. La nuova ricerca ha individuato i geni artefici di questa trasformazione: sono i fattori di crescita chiamati Egf e Areg. Entrambi sono normalmente prodotti dall'organismo per rispondere a stimoli come le lesioni dei tessuti o la proliferazione cellulare, e spesso espressi in eccesso nei tumori. "L'Egf funziona come un interruttore. Legandosi alla superficie cellulare avvia una catena di segnali che porta alla produzione di due connessine specifiche, Cx26 e Cx3", dice Hind Abdo, prima autrice dello studio.  Quando questi canali si moltiplicano, le cellule iniziano a scambiarsi fluidi in modo sincronizzato, gonfiandosi e sgonfiandosi in sequenza, come i movimenti coordinati di uno stormo di uccelli. 

Ti potrebbe interessare